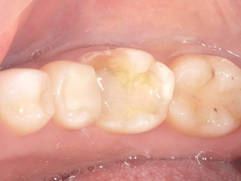
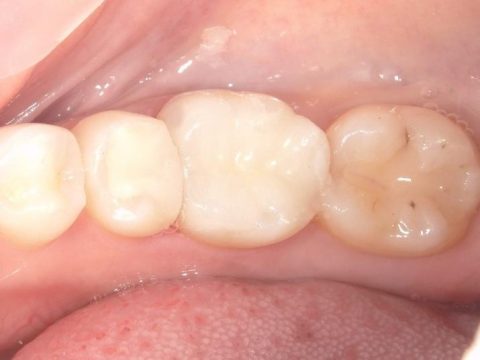
症例紹介
セラミックインレー 30代女性
| 費用(定価) | 49,280円+6,600円=55,880円 |
|---|---|
| モニター価格 | 43,780円+6,600円=50,380円 |
| 治療回数 | 2回 |
| 治療期間 | 3週間程度 |
| 副作用・リスク | 神経が残っている歯の為、型取りの治療と詰め物を入れる際の両方で麻酔が必要となります。 |
| 患者様からのコメント | 長年気になっていた銀歯を自然な白い歯にすることができ、とても満足しています。先生の説明も丁寧で安心して治療に臨むことができました。 |

